Fájdalomcsillapítás műtét nélkül

A degeneratív gerincbetegségek okozta fájdalom és állapotromlás többnyire konzervatív kezelési módszerekkel kezelhető, szinten tartható. A cél mindig az, hogy a lehető legkisebb beavatkozással érjük el a lehető legnagyobb javulást.

A páciensek ~90%-a műtét nélkül gyógyul

Kezelési módszerek

Tünetektől és panaszoktól függően az alábbi módszerek alkalmazhatók — önállóan vagy kombinálva. A megfelelő kezelési terv felállításához gerincsebészeti konzultáció és MRI vizsgálat szükséges.

Ideggyöki blokád

CT vagy képerősítő kontroll mellett célzottan juttatunk helyi érzéstelenítőt és gyulladáscsökkentőt a problémás ideggyök mellé.

Kisízületi blokád

A csigolyák közti kisízületek kopása (spondyloarthrosis) okozta fájdalom célzott kezelése szteroid és érzéstelenítő beadásával.

Keresztcsonti ízületi injekció

A sacroiliac ízületi diszfunkció okozta fájdalom és gyulladás kezelése célzott injekciós terápiával.

Infúziós terápia

Gyulladáscsökkentő és fájdalomcsillapító infúziós kúra, a fájdalomforrástól függően egyénre szabott összetétellel.

Gyógytorna — fizioterápia

Személyre szabott mozgásterápia: izomlazító és fájdalomcsökkentő gyakorlatok, a gerincet mozgató izomcsoport megerősítése.

CT-vezérelt célzott blokád

A gerincfájdalom konzervatív kezelésének egyik leghatékonyabb eszköze a célzott blokád injekció. Két fő típusa van, attól függően, hogy az ideggyök vagy a kisízület okozza-e a panaszokat.

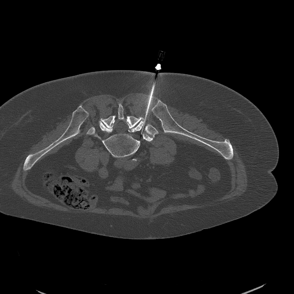
CT-vezérelt ideggyöki blokád — axiális CT-felvétel a tű pozíciójával
CT-vezérelt ideggyöki blokád: a felvételen jól látható a tű pontos pozícionálása az érintett ideggyök mellé

Ideggyöki blokád

Ha a csigolyák közötti részen kilépő idegpár a fájdalom forrása — például porckorongsérv vagy gerinccsatorna-szűkület miatti becsípődés esetén — célzott ideggyöki blokád injekciós terápiára van szükség. A beavatkozás során minimális mennyiségű helyi érzéstelenítőt és gyulladáscsökkentő szteroidot juttatunk az érintett ideggyök mellé.

A tű pontos célzását CT-vel vagy röntgen képerősítővel ellenőrizzük, hogy kizárólag a gyulladt idegeket érintse a kezelés. Az érzéstelenítő hatására átmeneti zsibbadás vagy gyengülés jelentkezhet — ez természetes jelenség, jellemzően néhány órán belül elmúlik.

Kisízületi blokád

A csigolyákat összekötő kisízületek fokozott terhelése felgyorsítja a porckopást (arthrózist), ami ízületi fájdalmat okozhat. Ilyenkor a fájdalmat okozó ízületbe juttatunk kis mennyiségű helyi érzéstelenítőt és gyulladáscsökkentő szteroidot, szintén CT- vagy képerősítő-kontroll mellett.

A beavatkozás menete

  • Képalkotó felvételek (MRI) által igazolt diagnózis szükséges
  • A tű pozícióját CT vagy képerősítő segítségével ellenőrizzük
  • A kezelés után 30 perces megfigyelés szükséges
  • Panaszmentesség esetén a páciens kísérő nélkül hazamehet
  • Személygépkocsi vezetése a kezelés napján nem javasolt

Ellenjavallatok

  • Az alkalmazott szerek bármelyikére való túlérzékenység
  • Véralvadásgátló (vérhígító) szerek szedése — fokozott körültekintést igényel
  • Vércukorszint- vagy vérnyomásszabályozó gyógyszerek — a kezelőorvos tájékoztatása szükséges

A kezelés menete a Budai Egészségközpontban

1

Gerincsebészeti konzultáció

Fizikális vizsgálat és a meglévő képalkotó leletek (MRI, CT, RTG) értékelése. Szükség esetén további vizsgálatok kérése.

2

Diagnózis és kezelési terv

A fájdalomforrás azonosítása és a személyre szabott terápiás terv felállítása: infúzió, blokád, gyógytorna vagy ezek kombinációja.

3

Kezelés

5 napos konzervatív kezelési kúra vagy egynapos CT-vezérelt blokád beavatkozás — a diagnózistól és a panaszok súlyosságától függően.

4

Kontroll és gyógytorna

A kezelés hatékonyságának értékelése és szükség szerinti gyógytorna-program indítása a tartós eredmény érdekében.

A kezelésekre a Budai Egészségközpontban van lehetőség, ideálisan egy ambuláns gerincsebészeti konzultációt követően.

Bővebb információ a bhc.hu-n
Vissza a gerincsebészet áttekintőhöz

Foglaljon időpontot konzultációra

A pontos diagnózis és a személyre szabott terápiás terv felállítása az első lépés a gyógyulás felé.

Időpontfoglalás