Porckorongsérv kezelése

A porckorongsérv a leggyakoribb degeneratív gerincbetegség. Az esetek mintegy 70%-ában konzervatív kezeléssel, műtét nélkül gyógyul — sebészi beavatkozásra csak akkor kerül sor, ha a panaszok tartósan fennállnak, vagy idegi károsodás áll fenn.

~70% konzervatív kezeléssel gyógyul
Ugrás Mi a porckorongsérv Első lépés: konzervatív Lumbális sérv Nyaki sérv Páciens esetek

Mi a porckorongsérv?

A gerinc csigolyái közötti porckorongok rugalmas párnákként működnek, amelyek tompítják a terhelést és lehetővé teszik a mozgást. A porckorong rostos fala (anulus fibrosus) idővel meggyengülhet, és rajta kiboltosulás keletkezik, ami nyomást gyakorolhat a közvetlenül mellette futó idegekre.

Másik megjelenési formája a kiszakadt (sequestrált) porckorongsérv: a rostos gyűrűn repedés keletkezik, amin keresztül a porckorong belsejében található kocsonyás anyag (nucleus pulposus) a porckorongon kívülre kerül. Ilyenkor az idegi nyomáson kívül a kikerült anyag eltérő kémiai tulajdonsága is irritálja az idegeket. A nyomás és a kémiai irritáció együtt gyulladást hoz létre az idegelemeken, ami fenntartja a fájdalomszindrómát.

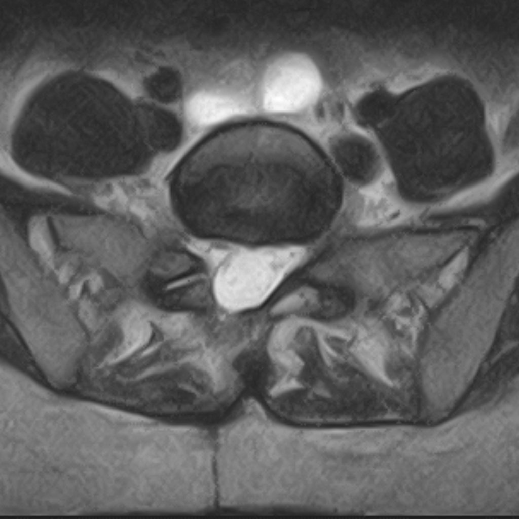
Axiális MRI felvétel — lumbális porckorongsérv
MRI: lumbális porckorongsérv — a porckoronganyag az ideggyökre nyomást gyakorol
Axiális MRI felvétel — műtét utáni állapot
MRI: műtét utáni állapot — az ideggyök felszabadult a nyomás alól

Konzervatív kezelés — legtöbb esetben elegendő

Porckorongsérv gyanúja esetén a pontos diagnózishoz MR-vizsgálat szükséges. Ha a klinikai kép nem utal sürgős műtéti indikációra, az első lépés szinte mindig a konzervatív kezelés. A porckorongsérvek jelentős része néhány hét-hónap alatt tartósan gyógyul célzott injekciós kezeléssel, gyulladáscsökkentő gyógyszerekkel és gyógytornával — műtéti beavatkozás nélkül.

~70%

Konzervatív úton gyógyul

A porckorongsérves páciensek jelentős része tartósan panaszmentessé válik műtét nélkül. A konzervatív kezelés részletes áttekintése a dedikált oldalon található.

A konzervatív kezelésről részletesen

Lumbális porckorongsérv

A derékszakaszon kialakuló porckorongsérv jellemzően lábba sugárzó fájdalmat (ischialgia, „isiász") okoz, gyakran zsibbadással és izomgyengeséggel. A tünetek mintázata segít a felelős szegmentum azonosításában — a pontos diagnózishoz azonban MRI-vizsgálat szükséges.

Sürgős műtét indikációja

  • Gyógyszerrel nem csillapítható, elviselhetetlen fájdalom
  • Alsó végtagi bénulás — izomerő-csökkenés, lábemelés nehézsége
  • Cauda syndroma — széklet- és vizeletürítési zavar, amely sürgősségi állapot

Tervezett műtét indikációja

  • 6–12 hét konzervatív kezelés sem hozott tartós javulást
  • A panaszok tartósan rontják az életminőséget és munkavégzést
  • Az MR-en látható sérv mértéke és a klinikai kép egybehangzóan műtétet indokol

Műtéti technika: discectomia

A műtét lényege, hogy kis bőrmetszésből (2–3 cm) feltárjuk a gerincet, és minimális csontos ablakot nyitunk két csigolya közötti résen. Ezen keresztül távolítjuk el az ideget nyomó sérves porckorongrészt, és felszabadítjuk az idegelemeket.

A jelenleg használatos módszerek — hagyományos feltárás, mikroszkópos technika (microdiscectomia), endoszkópos discectomia — között a tapasztalatok alapján nincs számottevő klinikai jelentőségű különbség a hosszú távú eredményeket tekintve. Amennyiben lehetséges, mindig a legkevésbé invazív megoldást részesítem előnyben.

Nyaki porckorongsérv

A nyaki szakaszon kialakuló porckorongsérv ideggyöki vagy gerincvelői kompressziót okozhat. A tünetek jellemzően a karba sugárzó fájdalom, zsibbadás, a finom mozgások ügyetlensége, súlyosabb esetben járászavar vagy kézi gyengeség.

Sürgős műtét indikációja

  • Gyógyszerrel nem csillapítható fájdalom
  • Felső és/vagy alsó végtagi bénulás
  • Gerincvelő-kompresszió klinikai tünetei (myelopathia) — járászavar, finom mozgás elvesztése

Tervezett műtét indikációja

  • Konzervatív kezelésre nem reagáló tartós panaszok
  • Fokozatos állapotromlás
  • MRI morfológiai lelete indokolja (jelentős sérv, gerinccsatorna-szűkület)

Műtéti technika: ACDF — elülső nyaki discectomia és fúzió

A nyak elülső részén 3–4 cm-es bőrmetszésen keresztül feltárjuk a gerincet, eltávolítjuk a porckorongot és a gerinccsatornába szakadt sérvet, majd felszabadítjuk az idegelemeket.

A porckorong helyére távtartót helyezünk, amit csavarokkal vagy lemezzel rögzítünk. A távtartóba csontpótló kerül, aminek segítségével a szomszédos csigolyák idővel csontosan összenőnek. A beavatkozás akár négy egymás melletti szegmentumban is elvégezhető. Egyes esetekben mozgó porckorong-protézis beültetése is lehetséges, ha a szomszédos szegmentumok mozgásának megőrzése előnyös.

Az ACDF magas sikerességi aránnyal enyhíti a tüneteket. A felépülési idő általában egy hónap.

Három tipikus betegút

Ugyanaz a diagnózis — háromféle út. Az alábbi kompozit esetek mutatják, hogy a porckorongsérv kezelése mindig egyéni döntés: a konzervatív siker, a tervezett műtét és a sürgős beavatkozás mind valós forgatókönyvek.

Konzervatív siker

„A fájdalom már a lábamba sugárzott"

40 éves irodai munkát végző páciens. CT-vezérelt injekció és gyógytorna után tartósan panaszmentessé vált — műtét nélkül.

Teljes eset
Tervezett műtét

„Már járni is alig tudtam"

45 éves aktív férfi. A konzervatív kezelés csak átmeneti javulást hozott — műtét után azonnali tüneti javulás és teljes felépülés.

Teljes eset
Sürgős műtét

„Nem tudtam rendesen használni a kezem"

42 éves fogorvos, nyaki porckorongsérv kialakult bénulással. 24 órán belüli ACDF műtét, 3 hónap után teljes funkcionális visszatérés.

Teljes eset
Dr. Szövérfi Zsolt
Írta és orvosszakmailag ellenőrizte: Dr. Szövérfi Zsolt PhD Gerincsebész · Ortopéd-traumatológus szakorvos · Teljes profil Utolsó frissítés: 2026. április

Foglaljon időpontot konzultációra

Ha porckorongsérv gyanújával vagy már igazolt diagnózissal szeretne tájékozódni a kezelési lehetőségekről, az első lépés egy gerincsebészeti konzultáció.

Időpontfoglalás
Másodvélemény konzultáció