Disc Herniation Treatment

Disc herniation is the most common degenerative spinal condition. In 70% of cases, it resolves completely with conservative treatment — surgery is only indicated when symptoms persist or neurological damage is present.

What is Disc Herniation?

The intervertebral discs between the vertebrae function as elastic cushions. The fibrous wall of the disc (anulus fibrosus) can weaken over time, creating a bulge that may exert pressure on the nerves.

Another form is the sequestrated disc herniation: a tear develops in the fibrous ring through which the jelly-like substance inside the disc (nucleus pulposus) escapes. In addition to nerve compression, the different chemical properties of the nucleus irritate the nerves. The pressure and chemical irritation create inflammation that sustains the pain syndrome.

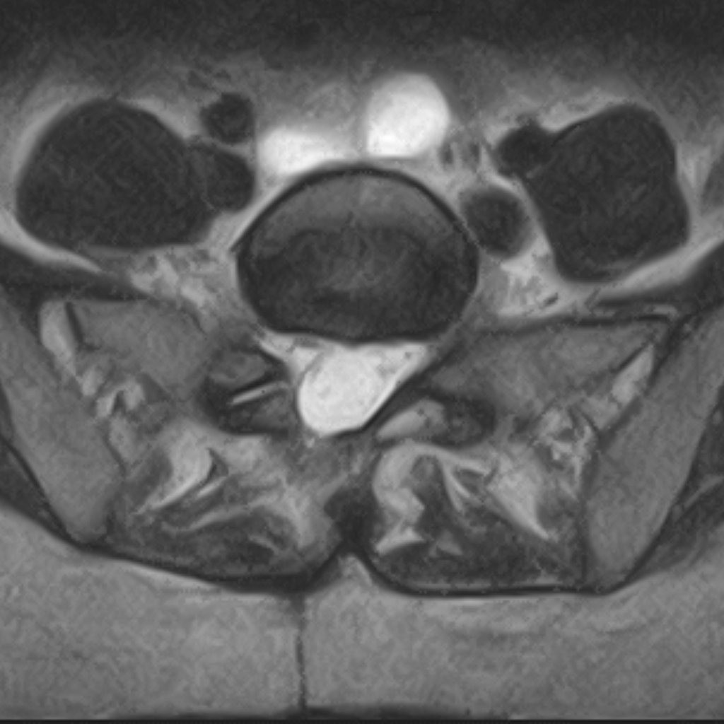
Axiális MRI felvétel — lumbális porckorongsérv
MRI: lumbar disc herniation — disc material compressing the nerve root
Axiális MRI felvétel — műtét utáni állapot
MRI: post-operative status — nerve root decompressed

Lumbar Disc Herniation

Lumbar disc herniation typically causes radiating pain into the leg, numbness, and muscle weakness. MRI is required for accurate diagnosis.

Indications for Urgent Surgery

  • Intractable pain unresponsive to medication
  • Lower extremity paralysis
  • Cauda equina syndrome — bowel and bladder dysfunction, a surgical emergency

Indications for Elective Surgery

  • Failure of conservative treatment
  • Clinical deterioration

Surgical Technique: Discectomy

The procedure involves exposing the spine through a small incision (2–3 cm) and creating a minimal bony window between two vertebrae. Through this, the herniation compressing the nerve is removed and the neural elements are decompressed.

There is no clinically significant difference between currently available methods — conventional, microdiscectomy, and endoscopic discectomy. Whenever possible, I favour the minimally invasive approach.

Cervical Disc Herniation

Cervical disc herniation can cause nerve root or spinal cord compression, resulting in radiating arm pain, numbness, dexterity problems, or gait disturbance.

Indications for Urgent Surgery

  • Intractable pain unresponsive to medication
  • Upper and lower extremity paralysis
  • Clinical signs of spinal cord compression (myelopathy)

Indications for Elective Surgery

  • Failure of conservative treatment
  • Clinical deterioration
  • Based on MRI morphology

Surgical Technique: ACDF — Anterior Cervical Discectomy and Fusion

The spine is accessed through a 3–4 cm incision on the anterior neck. The disc and the herniated fragment are removed, and the neural elements are decompressed.

A spacer is placed in the disc space and fixed with screws or a plate. Bone graft inside the spacer facilitates bony fusion of the adjacent vertebrae over time. The procedure can be performed at up to four adjacent segments. In select cases, a disc replacement prosthesis may be implanted.

ACDF relieves symptoms with a high success rate. Recovery time is typically one month.

Back to spine surgery overview

Book a Consultation

An accurate diagnosis and personalised treatment plan is the first step towards recovery.

Időpontfoglalás