Non-Surgical Pain Management

Pain and functional decline caused by degenerative spinal conditions can mostly be managed with conservative methods. The goal is always to achieve the greatest improvement with the least invasive intervention.

Approximately 90% of patients recover without surgery

Treatment Methods

The following methods can be applied individually or in combination, depending on symptoms. A spine consultation and MRI are required for an appropriate treatment plan.

Nerve Root Block

Under CT or fluoroscopic guidance, local anaesthetic and anti-inflammatory medication are delivered precisely to the affected nerve root.

Facet Joint Block

Targeted treatment of pain caused by facet joint degeneration (spondyloarthrosis) with steroid and anaesthetic injection.

Sacroiliac Joint Injection

Treatment of pain and inflammation caused by sacroiliac joint dysfunction with targeted injection therapy.

Infusion Therapy

Anti-inflammatory and analgesic infusion course with individualised composition depending on the source of pain.

Physiotherapy

Personalised exercise therapy: muscle relaxation, pain-reducing exercises, and strengthening of core spinal muscles.

CT-Guided Targeted Block

Targeted block injection is one of the most effective tools in the conservative management of spinal pain. There are two main types, depending on whether the nerve root or the facet joint is the source of symptoms.

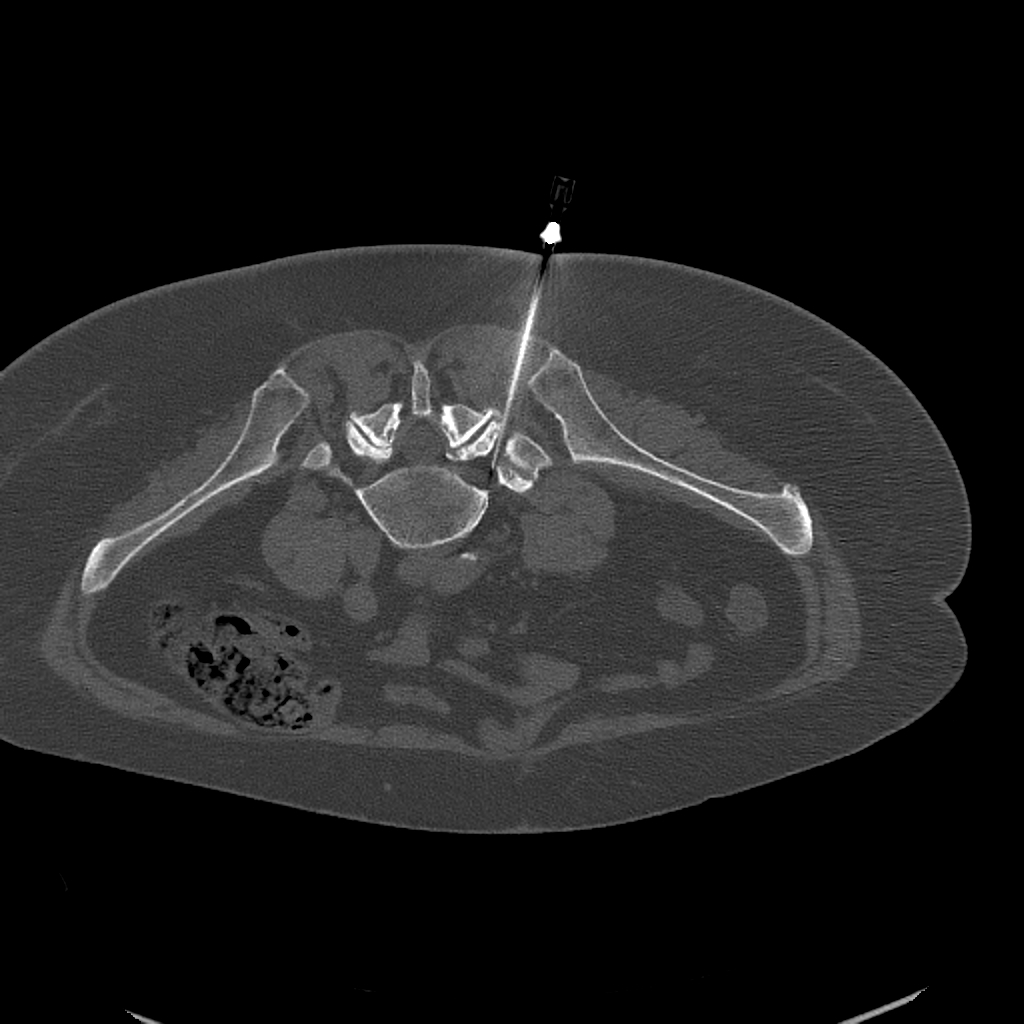
CT-vezérelt ideggyöki blokád — axiális CT-felvétel a tű pozíciójával
CT-guided nerve root block: the image clearly shows precise needle positioning next to the affected nerve root

Nerve Root Block

When the exiting nerve root is the source of pain — for instance due to disc herniation or spinal stenosis — targeted nerve root block injection therapy is indicated. During the procedure, a minimal amount of local anaesthetic and anti-inflammatory steroid is delivered next to the affected nerve root.

Needle positioning is verified by CT or fluoroscopy to ensure only the inflamed nerves are treated. Temporary numbness or weakness may occur due to the anaesthetic — this is a normal phenomenon that typically resolves within a few hours.

Facet Joint Block

Increased loading of the facet joints accelerates cartilage degeneration (arthrosis), which can cause joint pain. In such cases, a small amount of local anaesthetic and anti-inflammatory steroid is injected into the affected joint, also under CT or fluoroscopic guidance.

Procedure

  • Diagnosis confirmed by imaging (MRI) is required
  • Needle position is verified by CT or fluoroscopy
  • 30-minute observation is required after treatment
  • If asymptomatic, the patient may leave unaccompanied
  • Driving is not recommended on the day of treatment

Contraindications

  • Hypersensitivity to any of the agents used
  • Anticoagulant medication — requires increased caution
  • Blood sugar or blood pressure medications — the treating physician must be informed

Treatment Process at Buda Health Center

1

Spine Surgery Consultation

Physical examination and evaluation of existing imaging (MRI, CT, X-ray). Additional studies ordered if necessary.

2

Diagnosis and Treatment Plan

Identification of the pain source and development of a personalised treatment plan: infusion, block, physiotherapy, or combination thereof.

3

Treatment

5-day conservative treatment course or single-day CT-guided block procedure — depending on the diagnosis and severity of symptoms.

4

Follow-up and Physiotherapy

Evaluation of treatment effectiveness and initiation of physiotherapy programme as needed for lasting results.

Treatments are available at Buda Health Center, ideally following an outpatient spine surgery consultation.

More information at bhc.hu
Back to spine surgery overview

Book a Consultation

An accurate diagnosis and personalised treatment plan is the first step towards recovery.

Book Appointment