Tratamentul herniei de disc

Hernia de disc este cea mai frecventă afecțiune degenerativă a coloanei. În 70% din cazuri se vindecă complet prin tratament conservator — intervenția chirurgicală se efectuează doar când simptomele persistă sau există leziuni neurologice.

Ce este hernia de disc?

Discurile intervertebrale funcționează ca perne elastice între vertebre. Peretele fibros al discului (anulus fibrosus) se poate slăbi în timp, formând o proeminență care poate comprima nervii.

O altă formă este hernia de disc sechestrată: se produce o ruptură în inelul fibros prin care substanța gelatinoasă din interiorul discului (nucleul pulpos) ajunge în afara discului. Pe lângă compresia nervoasă, proprietățile chimice diferite ale nucleului irită nervii. Presiunea și iritația chimică creează inflamație care susține sindromul dureros.

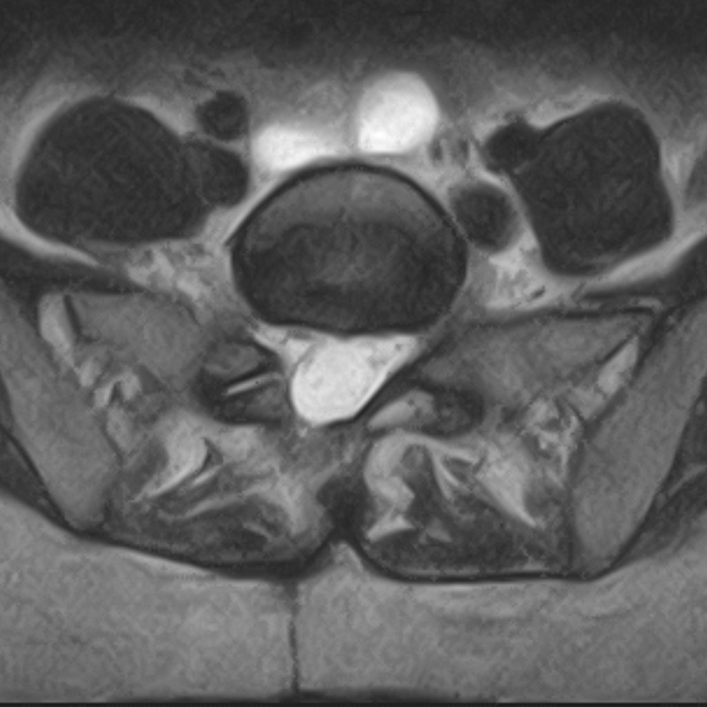
Axiális MRI felvétel — lumbális porckorongsérv
RMN: hernie de disc lombară — materialul discal comprimă rădăcina nervoasă
Axiális MRI felvétel — műtét utáni állapot
RMN: stare postoperatorie — rădăcina nervoasă este decomprimată

Hernie de disc lombară

Hernia de disc lombară cauzează de obicei durere iradiată în picior, amorțeală și slăbiciune musculară. Examinarea RMN este necesară pentru diagnostic precis.

Indicații pentru intervenție chirurgicală de urgență

  • Durere rezistentă la tratament medicamentos
  • Paralizie a membrelor inferioare
  • Sindromul de coadă de cal — disfuncție urinară și intestinală, urgență chirurgicală

Indicații pentru intervenție chirurgicală electivă

  • Eșecul tratamentului conservator
  • Deteriorare clinică

Tehnică chirurgicală: discectomie

Procedura implică expunerea coloanei printr-o incizie mică (2–3 cm) și crearea unei ferestre osoase minimale între două vertebre. Prin aceasta, hernia care comprimă nervul este îndepărtată și elementele neurale sunt decomprimate.

Nu există diferență clinică semnificativă între metodele disponibile — convențională, microdiscectomie și discectomie endoscopică. Ori de câte ori este posibil, prefer abordarea minim invazivă.

Hernie de disc cervicală

Hernia de disc cervicală poate cauza compresie de rădăcină nervoasă sau medulară, manifestându-se prin durere iradiată în braț, amorțeală, neîndemânare sau tulburări de mers.

Indicații pentru intervenție chirurgicală de urgență

  • Durere rezistentă la tratament medicamentos
  • Paralizie a membrelor superioare și inferioare
  • Semne clinice de compresie medulară (mielopatie)

Indicații pentru intervenție chirurgicală electivă

  • Eșecul tratamentului conservator
  • Deteriorare clinică
  • Pe baza morfologiei RMN

Tehnică chirurgicală: ACDF — elülső nyaki discectomia és fúzió

Coloana este abordată printr-o incizie de 3–4 cm pe partea anterioară a gâtului. Discul și fragmentul herniat sunt îndepărtate, iar elementele neurale sunt decomprimate.

Un distanțier este plasat în spațiul discal și fixat cu șuruburi sau placă. Grefa osoasă din distanțier facilitează fuziunea osoasă a vertebrelor adiacente. Procedura poate fi efectuată la până la patru segmente adiacente. În cazuri selectate, implantarea unei proteze de disc este posibilă.

ACDF ameliorează simptomele cu o rată ridicată de succes. Timpul de recuperare este de obicei o lună.

Înapoi la chirurgia spinală

Programați o consultație

Diagnosticul precis și planul de tratament personalizat sunt primul pas spre recuperare.

Időpontfoglalás