Tratamentul durerii fără operație

Durerea și deteriorarea cauzate de afecțiunile degenerative ale coloanei pot fi de obicei gestionate cu metode de tratament conservator. Scopul este întotdeauna de a obține îmbunătățirea maximă cu intervenția minimă.

Aproximativ 90% dintre pacienți se recuperează fără operație

Metode de tratament

În funcție de simptome, metodele de mai jos pot fi aplicate individual sau combinat. Pentru stabilirea planului de tratament adecvat este necesară o consultație de chirurgie spinală și un examen RMN.

Blocaj radicular

Sub control CT sau fluoroscopic, livrăm țintit anestezic local și antiinflamator lângă rădăcina nervoasă afectată.

Blocaj articular fațetar

Tratamentul țintit al durerii cauzate de uzura articulațiilor facetare (spondylartroză) cu injecție de steroid și anestezic.

Injecție în articulația sacroiliacă

Tratamentul durerii și inflamației cauzate de disfuncția articulației sacroiliace prin terapie injecțională țintită.

Terapie prin perfuzie

Cură de perfuzie antiinflamatorie și analgezică, cu compoziție individualizată în funcție de sursa durerii.

Kinetoterapie

Terapie prin mișcare personalizată: exerciții de relaxare musculară și ameliorare a durerii, întărirea grupelor musculare ale coloanei.

Blocaj țintit ghidat CT

Injecția de blocaj țintit este unul dintre cele mai eficiente instrumente în managementul conservator al durerii spinale. Există două tipuri principale, în funcție de faptul dacă rădăcina nervoasă sau articulația facetară cauzează simptomele.

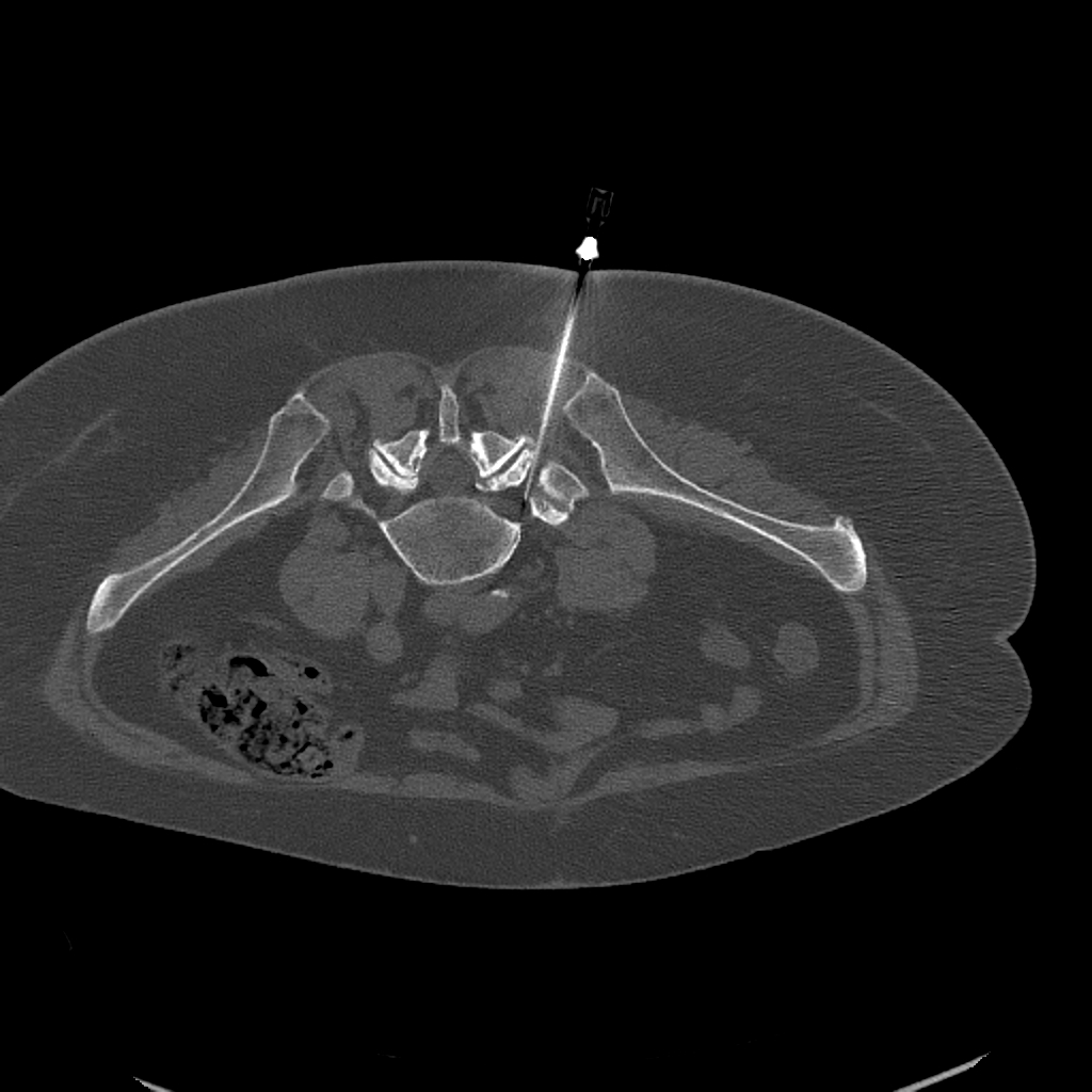
CT-vezérelt ideggyöki blokád — axiális CT-felvétel a tű pozíciójával
Blocaj de rădăcină nervoasă ghidat CT: pe imagine se observă clar poziționarea precisă a acului lângă rădăcina nervoasă afectată

Blocaj radicular

Când perechea de nervi care iese dintre vertebre este sursa durerii — de exemplu din cauza herniei de disc sau stenozei spinale — este necesară terapia injecțională de blocaj al rădăcinii nervoase. În timpul procedurii, o cantitate minimă de anestezic local și steroid antiinflamator este livrată lângă rădăcina nervoasă afectată.

Targetarea precisă a acului este verificată cu CT sau fluoroscopie. Amorțeala sau slăbiciunea temporară pot apărea datorită anestezicului — acesta este un fenomen natural care se rezolvă de obicei în câteva ore.

Blocaj articular fațetar

Încărcarea crescută a articulațiilor facetare accelerează uzura cartilajului (artroza), ceea ce poate cauza dureri articulare. În aceste cazuri, o cantitate mică de anestezic local și steroid antiinflamator este injectată în articulația afectată, sub control CT sau fluoroscopic.

Procedura

  • Este necesar un diagnostic confirmat imagistic (RMN)
  • A tű pozícióját CT vagy képerősítő segítségével ellenőrizzük
  • Este necesară observația de 30 de minute după procedură
  • Dacă nu apar simptome, pacientul poate pleca fără însoțitor
  • Conducerea autovehiculului nu este recomandată în ziua tratamentului

Contraindicații

  • Hipersensibilitate la oricare dintre substanțele aplicate
  • Administrarea de anticoagulante — necesită precauție suplimentară
  • Medicamente pentru controlul glicemiei sau tensiunii — medicul curant trebuie informat

Procesul de tratament la Buda Health Center

1

Consultație chirurgie spinală

Examinare fizică și evaluarea investigațiilor imagistice existente (RMN, CT, radiografie). Investigații suplimentare solicitate dacă este necesar.

2

Diagnostic și plan de tratament

Identificarea sursei durerii și stabilirea planului terapeutic personalizat: perfuzie, blocaj, kinetoterapie sau o combinație.

3

Tratament

Cură de tratament conservator de 5 zile sau procedură de blocaj ghidat CT într-o singură zi — în funcție de diagnostic și severitatea simptomelor.

4

Control și kinetoterapie

Evaluarea eficacității tratamentului și inițierea programului de kinetoterapie dacă este necesar, pentru rezultate de durată.

Tratamentele sunt disponibile la Buda Health Center, ideal în urma unei consultații ambulatorii de chirurgie spinală.

Mai multe informații pe bhc.hu
Înapoi la chirurgia spinală

Programați o consultație

Diagnosticul precis și planul de tratament personalizat sunt primul pas spre recuperare.

Programare